 |
 |
Com'è fatto il ginocchio?
Il ginocchio è l'articolazione più complessa del nostro corpo e consiste nelle articolazioni femoro-tibiali ( interna ed esterna - tra femore e tibia) e nella femoro-rotulea, tutte rivestite da cartilagine. |
|
|
 |
Radiografia del ginocchio
1_Femore
2_Tibia
3_Perone
4_Rotula
5_Piatto tibiale mediale / interno |
6_Piatto tibiale laterale / esterno
7_Eminentia intercondiloidea
8_Condilo femorale mediale CFM
9_Condilo femorale laterale CFL
*_Rime articolari femoro-tibiali |
|
 |
| |
Nelle rime femoro-tibiali si trovano due semilune di fibrocartilagine, i menischi, che ammortizzano e distribuiscono i carichi e che neutralizzano le incongruenze articolari. Il movimento coordinato del ginocchio viene garantito dalla guida dell'apparato legamentoso. Esternamente abbiamo i legamenti collaterali mediale e laterale ( LCM e LCL ) e al centro del ginocchio si trovano i due legamenti crociati anteriore e posteriore ( LCA e LCP ).
Anteriormente, la rotula e il tendine rotuleo fanno parte dell'importante apparato estensore del ginocchio e posteriormente sono situati vari tendini flessori e il principale fascio vscolo-nervoso. |
 |
|
 |
Risonanza magnetica del ginocchio
1_Menisco mediale
2_Menisco laterale
3_LCA
4_LCP
5_LCM
6_LCL |
|
 |
| |
Menischi e la loro lesione
I menischi sono delle strutture fondamentali per il nostro ginocchio. La loro funzione è di ammortizzare e di distribuire il carico dai condili femorali (tondi) alla tibia ( superficie piatta, "piatto tibiale") e ottimizzano la congruenza articolare. I menischi sono fatti di fibrocartilagine, sono solo parzialmente vascolarizzati e adattano la loro forma alle esigenze dell'articolazione. La lesione meniscale rappresenta una delle patologie più frequenti del ginocchio. Mentre la causa nel paziente giovane è spesso un trauma distorsivo sportivo ( calcio, basket, sci… ), nel paziente meno giovane è sufficiente un trauma minore (alzarsi da una sedia,…) per fissurare un menisco quando, per degenerazione naturale, esso non è più molto resistente alle sollecitazioni. Maggiormente interessato è il menisco interno (mediale), meno frequentemente quello esterno (laterale).
All'improvviso si avverte un dolore vivo in corrispondenza di una rima articolare e il ginocchio può essere addirittura bloccato e tumefatto. Di seguito il dolore compare sotto carico e scendendo le scale e talvolta non regredisce nemmeno con il riposo o di notte. Nei pazienti di età avanzata la sintomatologia può avere un decorso graduale anche senza trauma iniziale, specialmente quando il ginocchio è già segnato dall'artrosi.
Se il ginocchio doloroso non risponde alla terapia antiinfiammatoria e se persiste un blocco articolare, è indicato l'intervento artroscopico: |
|
|
|
|
| |
mediante 2 incisioni minore di 1 cm e con l’uso di un sistema di acquisizione di immagine (videocamera sterile) si esplora l’intera articolazione per confermare la diagnosi ed eventualmente rilevare ulteriori patologie endo-articolari che richiedono un adeguato trattamento. Una volta visualizzata la parte meniscale lesa, essa viene bonificata con strumenti dedicati o suturata in casi particolari di pazienti giovani.
In base alla gravità del caso, questo trattamento comporta l’uso di 2 stampelle per qualche giorno e un veloce recupero funzionale del ginocchio. Le suture meniscali devono essere protette dal carico per alcune settimane, permettendo così la formazione di una cicatrice resistente. |
|
|
|
|
| |
Lesione / Rottura Legamento Crociato
Due legamenti che si incrociano nel centro del ginocchio - i legamenti crociati, anteriore (LCA) e posteriore (LCP), sono delle strutture fondamentali per la stabilità articolare. Spesso vengono lesionati durante traumi distorsivi sportivi o incidenti stradali, come rottura isolata o nell'ambito di una lesione complessa insieme ad altre strutture come i legamenti collaterali, i menischi etc…
Sappiamo che la perdita della loro stabilità a lungo può favorire l'evoluzione artrosica. Il movimento irregolare del ginocchio quando cede può provocare dei danni ai menischi e alla cartilagine.
Fondamentale è allora la diagnosi precoce. I segni clinici da test manuali di stabilità, specialmente nelle lesioni parziali non sono sempre molto evidenti e la diagnosi può pertanto essere arricchita da un esame radiologico (radiografia RX o risonanza magnetica RMN ).
Quando il trattamento conservativo con terapia antiinfiammatoria, rieducazione motoria ed eventuale tutore fallisce e il ginocchio mostra tuttora segni di cedimento, è indicata la ricostruzione artroscopica di tutto il legamento nelle rotture complete, parzialmente nelle rotture incomplete o per rafforzare un legamento insufficiente (augmentation). A tale scopo vengono prelevati e preparati dei tendini (semitendini, tendine quadricipitale o tendine rotuleo) vicino all'articolazione e fissati con mezzi di sintesi metallici o riassorbibili in dei tunnel ossei femorale e tibiale. Per scelta personale, non uso i legamenti artificiali, nemmeno in casi di revisione, cioè quando un legamento già operato si rompe ancora e dev’essere nuovamente ricostruito. La fase post-operatoria richiede una deambulazione protetta con stampelle per ca 2 settimane, un programma immediato di riabilitazione graduale da coordinare con il proprio fisioterapista e prevede il ritorno definitivo allo sport dopo almeno 6 mesi.
I tempi lunghi del recupero sono dettati soprattutto dal tempo biologico del paziente, con il quale viene integrato l’innesto tendineo nell’osso ospite, nonché al trattamento di eventuali patologie associate. |
|
|
|
|
| |
Il Dolore Rotuleo
Spesso, quando siamo seduti a lungo con le ginocchia flesse (in macchina, a tavola, al cinema) o quando saliamo le scale, avvertiamo un dolore anteriormente al ginocchio, che ci costringe ad allungare l'arto per sentirne sollievo. Tipicamente il dolore viene descritto come “sordo” e può persistere nella fase di riposo.
Maggiormente sono interessati i pazienti di sesso femminile in età giovanile e giovane-adulta.
Questi sono i classici segni di uno scorretto scivolamento della rotula nel suo solco femorale, con conseguente iperpressione femoro-rotulea, attrito, infiammazione, dolore e a lungo andare usura articolare. |
|
|
|
|
| |
Un ginocchio valgo (a "X"), vizi torsionali, uno scarso sviluppo osseo locale, una muscolatura insufficiente o esiti di lussazioni di rotula, possono essere cause di questo disturbo frequente, di cui la cura primaria si trova nella rieducazione fisioterapica della muscolatura specialmente estensore dell'arto inferiore. Esercizi muscolari fatti adeguatamente possono migliorare il movimento e la stabilità della rotula nel suo binario, la troclea femorale.
Al persistere di tale patologia, nonostante rieducazione corretta ed un’eventuale ciclo infiltrativo con acido ialuronico, vi può essere indicazione alle cure chirurgiche che mirano alla remissione del dolore, alla prevenzione del danno articolare o quantomeno ad arrestare la sua evoluzione: |
|
|
|
|
| |
esistono gesti minori che riguardano i tessuti molli come il lateral release e plastiche muscolo-tendinee; osteotomie correttive come la trasposizione dell'apofisi tibiale anteriore ( ATA ) o osteotomie assiali dell'arto; nei casi più gravi e isolati di artrosi è indicata la protesi femoro-rotulea.
IIl Dolore Posteriormente al Ginocchio - Le Cisti Articolari
Il dolore nel cavo popliteo spesso è il primo sintomo di una patologia del ginocchio. Escludendo patologie extra-articolari come infiammazioni tendinee, strappi muscolari o affezioni circolatori della gamba, l'artrosi o la sofferenza di una struttura all'interno dell'articolazione crea un'alterazione funzionale, infiammazione e un aumento della produzione di liquido articolare. Questo effetto difensivo di tamponamento mette in tensione la parte meno rafforzata della capsula articolare (quella posteriore) e talvolta crea la formazione di cisti (ciste di Baker o ciste poplitea) che possono essere ben voluminosi e palpabili nel poplite.
Un'eziologia simile hanno le cisti parameniscali, che possono svilupparsi in seguito a problemi legati ai menischi.
Una volta queste cisti venivano asportate chirurgicamente a cielo aperto, ormai, da quando si ha capito che vengono provocate da una patologia intra-articolare, nella maggior parte dei casi queste neoformazioni vengono assorbiti dopo il trattamento artroscopico / protesico della loro patologia scatenante.
|
|
|
|
|
| |
IIl Ginocchio Varo / Valgo
Mentre nel sesso femminile prevale il valgismo ( a X ), il ginocchio maschile tende a essere al contrario, varo ( a O ), cioè quando le caviglie si toccano stando in piedi, le ginocchia sono distanti. |
|
|
 |
|
|
| |
Frequentemente si tratta di un fatto evolutivo, ma può dipendere anche da esiti traumatici, instabilità legamentose, patologie ossee locali. Questa alterazione dell'allineamento degli arti inferiori comporta un'alterata trasmissione del carico dal femore sulla tibia – l'asse meccanico non attraversa più il centro del ginocchio, ma internamente nel varo o esternamente nel valgo - e aumenta la pressione su menisco e cartilagine nel rispettivo comparto. |
|
|
 |
|
|
| |
Inizialmente il nostro organismo può perdonare dismetrie minime, ma esistono alcuni fattori che hanno un impatto molto negativo sulla sopravvivenza del ginocchio: età, sovrappeso, lavoro o attività pesanti, malattie articolari, traumi e soprattutto l'associazione della deformità a difetti di altre strutture endoarticolari: lesione LCA, lesione meniscale o lesione cartilaginea.
Il dolore, inizialmente solo sotto carico, compare nelle fasi avanzate anche a riposo e crea al paziente un'importante limitazione funzionale persino nelle attività normali della vita quotidiana.
Gli accertamenti radiografici standard devono comprendere una teleradiografia sotto carico, che permette di misurare l'angolo della deviazione assiale e possono essere arricchiti da una RMN del ginocchio per valutare eventuali patologie intra-articolari associate
|
|
|
 |
|
|
| |
Deviazioni assiali minime possono essere controllate con fisioterapia e ginnastica posturale, plantari asimmetrici e con un adeguamento delle attività fisiche, ma quando il disallineamento e maggiore o nel peggior caso associato a altre patologie articolari del ginocchio ( lesioni meniscali, instabilità o un moderato danno cartilagineo avviato ) si deve ricorrere alle cure chirurgiche:
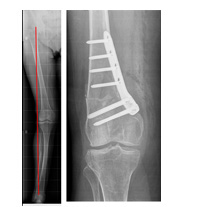
Con osteotomia si intende un'interruzione intenzionata ( ovviamente chirurgica ) di un segmento osseo, il quale viene subito fissato come una vera frattura con placche o viti, con la possibilità di modificarne la sua posizione, la sua lunghezza, la sua rotazione o la sua asse.
Nel caso di un ginocchio varo si esegue un osteotomia obliqua, sotto controlli radiografici, nella parte alta della tibia e in base alle misurazioni preoperatorie su radiografia questo taglio viene aperto a cuneo e successivamente stabilizzato con i mezzi di sintesi. |
|
|
|
|
| |
Si riproduce in questa maniera una correzione controllata dell'asse di tutto l'arto, con l'effetto immediato di uno spostamento della linea di carico via dal comparto sofferente nel centro del ginocchio, o qualora fosse bisogno nei casi più importanti, anche nel comparto controlaterale ancora in buono stato. Un ginocchio a X diventa allora dritto, o se necessario, per ipercorrezione lievemente a O ( valgo ).
Il grande vantaggio di questo intervento per il paziente sta nel fatto di ritardare un'eventuale intervento protesico, in letteratura il tasso di soddisfazione del paziente supera il 90% dopo 10anni! Quando, per forza delle cose, avanza l'usura anche nel comparto allora ancora sano, si deve comunque considerare una protesizzazione, la quale rappresenta tuttora l'unico trattamento risolutivo dell'artrosi.
Il ginocchio valgo, a X, viene trattato nella stessa maniera, con la differenza che l'osteotomia normalmente è situata nella parte inferiore del femore.
|
|
|
 |
|
|
| |
Esistono, molto raramente, ginocchia che hanno una deformazione talmente complessa con la necessità di eseguire in contemporaneo sia una correzione tibiale, sia femorale.
Le osteotomie vengono trattate nel postoperatorio come delle fratture articolari di ginocchio con una mobilizzazione e deambulazione immediata, necessitano però di una tutela con 2 stampelle per ca 6 settimane. In caso durante un'osteotomia fossero trattate anche delle altre patologie come lesioni meniscali, legamentose o della cartilagine, il postoperatorio potrebbe subire delle variazioni.
Cartilagine: Degenerazione e Lesioni Condriali
La cartilagine è uno dei nostri tessuti più preziosi; essa riveste le nostre articolazioni e le protegge per tutta la vita dall'usura. Con il continuo aumento dell'età media questo strato protettivo può subire un'assottigliamento tale da esporre persino l'osso sottostante (subcondrale), che non ha ovviamente la stessa superficie omogenea e liscia per garantire uno scivolamento privo di attrito di una faccia articolare sull'altra. L'articolazione comincia ad essere dolorosa, prima a episodi, poi in modo cronico, si gonfia e la sua funzione peggiora gradualmente. Come conosciamo il problema dal tessuto nervoso o dai denti, una volta degenerata e consumata la cartilagine, non si rigenera più e il danno è irreversibile. Il chirurgo può solo cercare di stimolare una cicatrice che copre il difetto o di chiudere la lesione con un'innesto o una membrana particolare. Una parte fondamentale del nostro impegno clinico deve allora riguardare la prevenzione dei problemi cartilaginei, trasmettendo al paziente l'importanza del controllo del sovrappeso (che fatica!!), di deviazioni assiali ( "gambe storte" ), di attività lavorative e sportive troppo pesanti, etc.
Solitamente, quando scopriamo una lesione cartilaginea degenerativa, essa non è più un difetto circoscritto da trattare localmente "come una carie", ma si presenta in modo diffuso, interessando già una grande parte dell'articolazione |
|
|
 |
|
|
| |
Il trattamento comprende quindi, oltre alle rare cure conservative o interventi correttivi come le osteotomie, le soluzioni protesiche, da approfondire nei capitoli dedicati.Oltre alla sofferenza legata all’usura diffusa, la cartilagine può essere compromessa da altre patologie più localizzate:Anche le lesioni cartilaginei portano a incongruenze delle faccetta articolari e persino questi possono secondariamente favorire l'evoluzione artrosica. |
|
|
|
|
| |
La diagnosi precoce è allora fondamentale, richiede una buona valutazione strumentale con radiografia e specialmente RMN e necessità di un appropriato trattamento per evitare la degenerazione dell'intera articolazione.
Distinguiamo due gruppi di lesioni: le traumatiche, da intendere come distacco fratturativo di un frammento di cartilagine con o senza elemento osseo e le lesioni osteocondrali, non dovute a un evento accidentale, ma di natura evolutiva su base di un'alterazione dell'osso subcondrale (osteocondrite dissecante OCD, morbo di Ahlbaeck).
Con la RMN si riesce a tipizzare il frammento e valutare la sua entità per l'impostazione del trattamento idoneo, che può variare molto tra i due gruppi:
|
|
|
|
|
| |
Frammenti cartilaginei di diametro minimo possono essere riassorbiti e se il paziente non presenta alterazioni funzionali del ginocchio, vi è la rara indicazione al trattamento conservativo.
In caso di frammenti traumatici maggiori è imperativo valutare, oltre alla loro dimensione, la localizzazione del distacco in base alla zona del carico della faccia articolare. Più centrali essi si trovano maggior impatto negativo avrà la conseguente incongruenza per l'intera articolazione.
I frammenti traumatici si separano da osso sano, che solitamente non fatica a formare un valido callo osseo. Scopo del loro trattamento è chiaramente il ripristino della congruenza articolare e della loro resistenza al carico. Tali procedure sono subito da eseguire contemporaneamente alle cure di fratture ossee, lussazioni o danni legamentosi/meniscali e non sarebbero da eseguire in differita.
La particolarità dell'osteocondrite dissecante OCD è data dalla formazione di "pastiglie" osteocondrali di varie dimensioni che si staccano gradualmente dalla loro base ossea, senza presentare necessariamente un'Interruzione della copertura cartilaginea. Una visione artroscopica può essere ancora non sospetta, mentre vi si sta già formando un doloroso corpo mobile osseo sottostante. La causa di tale patologia troviamo in disturbi della locale vascolarizzazione ossea e una scarsa vitalità dell'osso subcondrale (necrosi, sclerosi) determina la maggiore difficoltà terapeutica.
Nel trattamento delle lesioni condrali vi è indicazione al trattamento conservativo con una limitazione del carico, un rigido protocollo medico-riabilitativo e trattamenti locali come la magneto- o la Tecar-terapia.
Il trattamento chirurgico inizia generalmente con un'esplorazione artroscopica, fondamentale per la scelta del trattamento definitivo, che può consistere in: asportazione di irregolarità cartilaginei o corpi mobili, induzione ad una cicatrice simil-cartilaginea e rivascolarizzazione con stimolazione midollare mediante microfratture , perforazioni ante-/ retrogradi, trapianti di cilindri osteocondrali , trapianti di cellule cartilaginei, copertura dei difetti con membrane bioingegnerizzati , refissione di frammenti o pastiglie osteocondrali con mezzi di sintesi metallici/riassorbibili o con colla di fibrina.

La fase post-operatoria è caratterizzata da un periodo di scarico con due stampelle, il movimento articolare invece deve essere ripristinato da subito. Il ritorno allo sport o attività pesanti avviene dopo alcuni mesi, dopo accurata valutazione della guarigione cartilaginea con RMN.
Protesi di Ginocchio
La protesi di ginocchio è un'articolazione artificiale: essa consiste in due componenti metalliche ( scudo femorale e piatto tibiale ), un'inserto in polietilene interposto e, se indicato, in un rivestimento della rotula, anch'esso di polietilene. |
|
|
|
|
| |
Una protesi viene impiantata nel ginocchio sofferente e degenerato quando la terapia conservativa come la fisioterapia, le terapie fisiche e/o farmacologiche (sostanze che inibiscono dolore e infiammazione o che tutelano la cartilagine) falliscono.
La protesi articolare rimane tuttora – nonostante tutte le speranze in trattamenti con cellule staminali, etc – l'unico trattamento risolutivo dell'artrosi. Altre indicazioni possono essere esiti traumatici, instabilità legamentose, necrosi ossee e patologie articolari come per esempio l'artrite reumatoide.
Scopo dell'impianto è di ridare al ginocchio una liscia superficie di scivolamento, che rispecchia la forma e la funzione articolare di un ginocchio sano. Durante l'intervento vengono sostituito con delle componenti metalliche sottili solo le superfici articolari usurate, cercando di resecare meno osso possibile e di conservare o ripristinare la propria guida legamentosa.
Secondo la localizzazione e il grado del processo degenerativo, uso i seguenti tipi di impianto:
|
|
|
 |
1 - La protesi monocompartimentale ( monocondilica ):
Con questa sostituzione parziale del ginocchio viene rivestito solo un comparto articolare ( interno o esterno ). Questa variante protesica rappresenta il tipo più piccolo degli impianti e presuppone l’integrità legamentosa del ginocchio (specialmente del legamento crociato anteriore ). |
|
 |
2 - La protesi totale ( bicondilica )
La variante più frequentemente utilizzata, che prevede la protesizzazione di entrambi i comparti femoro-tibiali, a scelta anche della rotula. L’assenza dei legamenti crociati non è una controindicazione.
Distinguiamo due sottotipi differenti: modello PS (postero-stabilizzato) con sacrificio del legamento crociato posteriore e il modello CR (cruciate retaining) per la conservazione del LCP nel paziente giovanile, attivo. L’ultima generazione ( XP ) prevede addirittura la conservazione di entrambi i legamenti crociati. |
|
 |
3 - La protesi vincolata
In caso di insufficienza dell’apparato capsulo-legamentoso e in caso di grave perdita ossea, la stabilità articolare può essere assicurata da un impianto protesico particolarmente guidato, ma il grado del movimento sarà tanto più limitato quanto maggiore il vincolo protesico. |
|
| |
Ognuno di questi tipi protesici esiste in varie forme, misure e leghe di metallo e garantisce una soluzione individuale per ogni paziente. La scelta dell’impianto si basa però anche su fattori come altezza/peso, attività fisica, età, qualità ossea e lo stile di vita, nonché le proprie esigenze del paziente. La riabilitazione prevede la tutela con 2 stampelle per un periodo da 2 a 4 settimane e un recupero graduale di articolarità, forza e movimento preferibilmente da proseguire in una struttura riabilitativa.
Quando la Protesi di Ginocchio Fallisce - La Revisione
Si intende la procedura chirurgica che cambia parzialmente o interamente una protesi di ginocchio quando essa non funziona più correttamente.
Le cause che danno indicazione al re-intervento possono essere tante:
• l'impianto ha esaurito la sua durata per "età di servizio" (attualmente ca 15 anni)
• vi è usura precoce / rottura di una o più componenti
• vi è un'infezione o un'allergia alle leghe di metallo
• la causa è una frattura dell'osso che compromette l'ancoraggio valido dell'impianto
• usura della rotula, precedentemente conservata
• vi è instabilità e l'impianto non e affidabile
• la protesi fa male o è rigida.
La varietà delle cause del fallimento ci rende comprensibile la necessità di un'accurata analisi del problema dopo una visita specialistica ortopedica. Di conseguenza, esami strumentali come radiografie e TAC sono indispensabili per valutare il corretto posizionamento dell'impianto, alterazioni del contatto protesi-osso o protesi-cemento-osso (mobilizzazione, fratture) e l'integrità delle componenti ( usura ). Di fronte al sospetto di un infezione è fondamentale eseguire un prelievo di sangue e del liquido articolare per una valutazione in laboratorio della quantità di cellule infiammatorie (conta dei globuli bianchi) e la ricerca di eventuali germi (esame colturale con antibiogramma), nel liquido sinoviale solitamente sterile. In letteratura scientifica, a esami strumentali come la scintigrafia ossea viene dato sempre meno importanza.
|
|
|